Logger Script 바루다치과 임플란트 1 페이지 | 바루다치과
상담이 필요하세요?
궁금하신 것은 무엇이든 친절하게 알려드립니다.
내원 횟수 줄이는
임플란트 술식
각종 치과 디지털 장비로
환자분들의 치료를 편안하고

신속하게 그리고 정밀하게
맞춰드리기 위해 노력합니다.
임플란트 수술경력
20년 이상의 대표원장
치과의사 경력
26  년
임플란트시술
23  년
식립한 임플란트 갯수
40,000  건
기준

고객의 시간은 소중합니다.
바쁜 현대 사회에서 시간을 내서
치과에 자주 내원하는 것은
부담이 될 수 밖에 없습니다.
바루다 치과의 수술 노하우와 디지털 기술의 접목은 치과 내원 횟수를
줄여주어 궁극적으로는 고객의 경제적 이득이 될 것입니다.
A. 발치즉시 임플란트
발치 후 4개월을 기다려서 시술하는 방식은
발치 할 때 마취, 임플란트 식립 할 때 마취,
이렇게 2번의 마취과정이 있어서

환자를 두 번 아프게 하며,
치료 완료까지 걸리는 기간도 2배가 됩니다.
발치 후 즉시 식립하는 방식은 마취 1번으로 발치와 임플란트 식립을 동시에 하기 때문에 통증의 경험을 1번으로 끝내는 장점이 있으며, 치료 완료까지 걸리는 기간도 반절로 단축됩니다. 다만 모든 환자에서 가능한 것은 아니며, 잇몸뼈의 흡수가 심하지않은 환자라면 가능하니 치과에 내원하셔서 검사 후 상의하시면 됩니다.
  발치 즉시 식립 증례
사례더보기    →
B. 당일 보철물 제작 및 장착
( 바루다 완성 보철)
바루다 치과 디지털 기술은 당일 촬영 후
당일 보철물 제작이 가능하게 시스템을 구축
하였기에, 당일로 보철물을 제작 및 장착하여
치료를 마무리합니다.
임플란트 식립 후 잇몸뼈와 임플란트가 잘 결합하고 나면 보철물을 제작하는 과정에 들어가는데, 통상적인 과정은 본을 뜨고 보철물을 제작한 후 며칠 후 다시 환자가 치과를 찾아 보철물을 장착하게 됩니다. 그러나 바루다 치과 디지털 기술은 당일 촬영 후 당일 보철물 제작이 가능하게 시스템을 구축하였기에, 당일로 보철물을 제작 및 장착하여 치료를 마무리하여 환자의 추가적인 내원 횟수를 줄여줍니다.
  당일 완성 보철 증례
모든 케이스에서 가능한 것은 아니며, 제작해야 하는 보철물의 개수가 적은 경우에만 가능하니 참고하시고 가능여부는 치과에서 상의하시면 되겠습니다.
사례더보기    →
* 상기 환자에서 부작용은 없었습니다.
임플란트 부작용
임플란트 시술시 일반적으로 발생 가능한
합병증은 다음과 같습니다.
- 수일간 지속되는 통증, 부종, 멍, 불편함, 코피
- 상악동 천공, 상악동염
- 신경 손상으로 인한 수술 부위, 혀, 잇몸, 입술, 턱, 볼 등의 저린 느낌과 무감각
(이는 일시적인 현상이나, 영구적으로 지속되는 경우도 희박한 확률로 있음)
- 수술 후 감염으로 인한 추가 치료가 필요 할 수 있음.
- 지연성 출혈 또는 심한 출혈로 인한 추가 치료가 필요할 수 있음.
- 얇은 골의 천공과 치조골의 골절
- 임플란트 식립 부위 주변 치아, 치은, 치근의 손상
- 근육통, 턱관절 장애
- 이식재의 거부반응
- 거부 반응 또는 수술 부위 염증으로 인한 임플란트 주위 골흡수
바루다치과 에서는
1단계와 2단계를 한번에 진행
3단계 4단계 5단계를 한번에 진행합니다.
임플란트 치료 5단계를, 2단계로 치료
바루다 치과는 총 2번의 과정으로 치료가 마무리 될 수 있는 시스템을 갖추고 있습니다.
다만 모든 환자에서 가능한 술식은 아니며, 가능한 환자에서만 선별적으로 하는 시술이니
가능여부는 치과에 내원하셔서 상담이 반드시 필요합니다.
일반적인 임플란트 치료 과정은 아래처럼
총 5단계를 거친다고 할 수 있습니다.
STEP 1
발치
공백
발치 이후 치유를
기다리는 기간 4개월
STEP 2
임플란트 1차 수술
(식립)
식립 이후 임플란트와 뼈의 골유착을
기다리는 기간 3-6개월
STEP 3
임플란트 2차 수술
(잇몸위로 노출)
2차 수술 후 잇몸이
아무는 기간 1-3주
STEP 4
보철물 제작을 위한
본뜨는 과정
본뜨고 나서 보철물
제작기간 1-7일
STEP 5
보철물 장착
공백
치료 마무리
공백
바루다 치과는 일반적인 임플란트 치료 5단계를
2단계 혹은 1단계로 당일임플란트로 바로, 하루에, 바르게 치료합니다.
20년이 넘는 세월속에서
식립한 임플란트 갯수는
40,000
가 넘었습니다.
오랜 기간 많은 임플란트 식립 경험 속에서
다져진 노하우는 바루다 치과의원의 자신감이자 기반입니다.
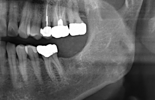
BEFORE
AFTER
임플란트 촬영날짜: 2021-12-31
BEFORE
AFTER
임플란트 촬영날짜: 2021-11-09
BEFORE
AFTER
전체 임플란트 촬영날짜:
BEFORE
AFTER
전체 임플란트 촬영날짜:
BEFORE
AFTER
전체 임플란트 촬영날짜:
BEFORE
AFTER
전체 임플란트 촬영날짜:
* 상기 환자에서 부작용은 없었습니다.
사례더보기    →
임플란트에 관한 자주 묻는 질문들
A그럴 가능성은 낮습니다. 하지만 우리 몸에서 가장 단단한 치아도 일상에서 생기는 실수나 사고 등으로 깨지는 경우가 있듯이 보철이 깨지거나 금이 갈 수는 있습니다.
A 철저한 전신 건강 체크와 약물 체크, 세심하고 절제된 수술, 그리고 수술 후 꼼꼼한 체크를 통해 임플란트 수술을 진행합니다. 출혈에 민감한 당뇨 및 고혈압 환자분들의 임플란트, 뼈이식 및 잇몸 수술을 안전하게 받으실 수 있습니다.
A 네 가능합니다. 잇몸이 약하고 고령인 분들을 위해 절제되고 깔끔한 수술법으로 치료에 만전을 기하고 있습니다.
register
contact
for more
information
042.489.2828
인스타인스타카카오블로그
도로명  대전시 서구 둔산남로 7
하루에빌딩 1,2,3층 바루다치과
 대전광역시 서구 둔산동 1155
하루에빌딩 1,2,3층 바루다치과
평    일 AM 09 : 00 - PM 18 : 00
점    심 PM 13 : 00 - PM 14 : 00
접수마감 PM 17 : 15
토요일/일요일 정기휴무
로고

로그인

로그인 후 이용해주세요.