Logger Script 바루다치과 임플란트 1 페이지 | 바루다치과
상담이 필요하세요?
궁금하신 것은 무엇이든 친절하게 알려드립니다.
바루다
68임플란트
전후사진

바루다 치과에서 치료받으신 분들의
보정없는 전후사진입니다.
BAROODA DENTAL
바루다치과는
근거 기반의 치료를
원칙으로 합니다.
before &
after

20년이 넘는 세월속에서
식립한 임플란트 갯수는
40,000개가 넘었습니다.

오랜기간 많은 임플란트 식립 경험속에서
다저진 노하우는 현재 바루다 치과의원의
자신감 이자 기반입니다.
*치료 전 사진에 마우스를 올리시면 치료 후 사진을 볼 수 있습니다.
상기 환자에서 부작용은 없었습니다.
  내원 횟수 줄이는 임플란트 술식 증례
→ SCROLL
내원 횟수 줄이는 임플란트 술식 자세히보기    →
  전체 임플란트 증례
→ SCROLL
전체임플란트 자세히보기    →
  앞니 임플란트 후 임시치아 증례
→ SCROLL
앞니 임플란트 후 임시치아 자세히보기    →
  복잡한 뼈이식 증례
→ SCROLL
복잡한 뼈이식 자세히보기    →
* 상기 환자에서 부작용은 없었습니다.
임플란트 부작용
임플란트 시술시 일반적으로 발생 가능한
합병증은 다음과 같습니다.
- 수일간 지속되는 통증, 부종, 멍, 불편함, 코피
- 상악동 천공, 상악동염
- 신경 손상으로 인한 수술 부위, 혀, 잇몸, 입술, 턱, 볼 등의 저린 느낌과 무감각
(이는 일시적인 현상이나, 영구적으로 지속되는 경우도 희박한 확률로 있음)
- 수술 후 감염으로 인한 추가 치료가 필요 할 수 있음.
- 지연성 출혈 또는 심한 출혈로 인한 추가 치료가 필요할 수 있음.
- 얇은 골의 천공과 치조골의 골절
- 임플란트 식립 부위 주변 치아, 치은, 치근의 손상
- 근육통, 턱관절 장애
- 이식재의 거부반응
- 거부 반응 또는 수술 부위 염증으로 인한 임플란트 주위 골흡수
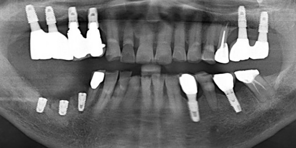
BEFORE
AFTER
임플란트 촬영날짜: 2021-12-31
BEFORE
AFTER
임플란트 촬영날짜: 2021-11-09
BEFORE
AFTER
전체 임플란트 촬영날짜:
BEFORE
AFTER
전체 임플란트 촬영날짜:
BEFORE
AFTER
전체 임플란트 촬영날짜:
BEFORE
AFTER
전체 임플란트 촬영날짜:
* 상기 환자에서 부작용은 없었습니다.
사례더보기    →
임플란트에 관한 자주 묻는 질문들
A그럴 가능성은 낮습니다. 하지만 우리 몸에서 가장 단단한 치아도 일상에서 생기는 실수나 사고 등으로 깨지는 경우가 있듯이 보철이 깨지거나 금이 갈 수는 있습니다.
A 철저한 전신 건강 체크와 약물 체크, 세심하고 절제된 수술, 그리고 수술 후 꼼꼼한 체크를 통해 임플란트 수술을 진행합니다. 출혈에 민감한 당뇨 및 고혈압 환자분들의 임플란트, 뼈이식 및 잇몸 수술을 안전하게 받으실 수 있습니다.
A 네 가능합니다. 잇몸이 약하고 고령인 분들을 위해 절제되고 깔끔한 수술법으로 치료에 만전을 기하고 있습니다.
register
contact
for more
information
042.489.2828
인스타인스타카카오블로그
도로명  대전시 서구 둔산남로 7
하루에빌딩 1,2,3층 바루다치과
 대전광역시 서구 둔산동 1155
하루에빌딩 1,2,3층 바루다치과
평    일 AM 09 : 00 - PM 18 : 00
점    심 PM 13 : 00 - PM 14 : 00
접수마감 PM 17 : 15
토요일/일요일 정기휴무
로고

로그인

로그인 후 이용해주세요.