Logger Script 바루다치과 치아교정 1 페이지 | 바루다치과
상담이 필요하세요?
궁금하신 것은 무엇이든 친절하게 알려드립니다.
바루다 치아교정 전후사진
바루다 치과에서 치료받으신 분들의 보정없는 전후사진입니다.
BAROODA DENTAL
바루다치과는
근거 기반의 치료를
원칙으로 합니다.
before &
after

치과의사로서 26년의 경력에
임상 경험의 바탕 위에
디지털기술로 꽃을 피웠습니다.

정확한 진단을 위해서는 방사선 장비, 구강 스캐너, 안면 스캐너
등을 이용하여 환자의 진단 자료를 만들고, 이를 정밀 분석하여
치료 계획을 세우고 있습니다.
*치료 전 사진에 마우스를 올리시면 치료 후 사진을 볼 수 있습니다.
상기 환자에서 부작용은 없었습니다.
  A. 구강내 전후 사진
→ SCROLL
치아교정 자세히보기    →
  B. 얼굴 측면 전후사진
→ SCROLL
치아교정 자세히보기    →
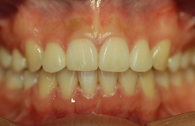
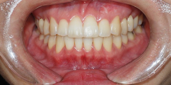
  C. 정면 입모양 전후사진
→ SCROLL
치아교정 자세히보기    →
BEFORE
AFTER
정면 입모양 교정 전후 촬영날짜:
BEFORE
AFTER
정면 입모양 교정 전후 촬영날짜:
BEFORE
AFTER
정면 입모양 교정 전후 촬영날짜:
BEFORE
AFTER
정면 입모양 교정 전후 촬영날짜:
BEFORE
AFTER
정면 입모양 교정 전후 촬영날짜:
BEFORE
AFTER
정면 입모양 교정 전후 촬영날짜:
* 상기 환자에서 부작용은 없었습니다.
사례더보기    →
치아교정에 관한 자주 묻는 질문들
A상태에 따라 치료기간이나 내원 간격에는 차이가 있지만 성인의 경우 대개 위·아래 치아 전체를 교정할 경우 25~30개월 정도 소요되며, 이 기간 동안 보통 4~6주에 1회 정도 내원이 필요합니다.
A 일반적으로 전체 치아를 배열하는 교정 치료는 치아의 바깥쪽에 ‘브라켓’이라는 장치를 붙이고, 브라켓 사이에 교정용 와이어를 넣어 이동하려는 방향으로 압력을 가하며 진행됩니다.
A 교정 치료의 적정기는 교정하기로 마음먹은 그 순간입니다. 물론 성장기 청소년(특히 12~14세)은 세포 대사가 왕성하고 성장을 이용한 치료가 가능하기 때문에 치아 이동에 대한 잇몸뼈 및 주변 조직의 반응이 성인에 비해 상대적으로 양호하기 때문에 치아 이동이 주된 치료인 교정 환자의 경우 비교적 교정 기간이 짧다는 장점이 있습니다.
register
contact
for more
information
042.489.2828
인스타인스타카카오블로그
도로명  대전시 서구 둔산남로 7
하루에빌딩 1,2,3층 바루다치과
 대전광역시 서구 둔산동 1155
하루에빌딩 1,2,3층 바루다치과
평    일 AM 09 : 00 - PM 18 : 00
점    심 PM 13 : 00 - PM 14 : 00
접수마감 PM 17 : 15
토요일/일요일 정기휴무
로고

로그인

로그인 후 이용해주세요.