Logger Script 바루다치과 라미네이트 1 페이지 | 바루다치과
상담이 필요하세요?
궁금하신 것은 무엇이든 친절하게 알려드립니다.
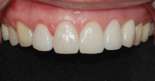
바루다 라미네이트
바루다치과 라미네이트 치료는
20년 이상 경력의
서울대출신, 보건복지부 인증
1.7%교정전문의가 직접 치료합니다.
치아모양, 잇몸형태, 치아색상,
치아 배열과 양상 이외에도
개인의 미소라인과 전체적인
얼굴과의 조화를 분석 한 후,
환자 개인에게 가장 이상적이고
건강한 라미네이트 치료를 진행합니다.
바루다 라미네이트는, 서울대출신 교정 전문의 26년 경력의 원장이 치료합니다.
shape
잇몸형태
color
치아의모양,색상
Arrangement
치아의 배열
바루다 치과는 치료 전 치아 모양, 잇몸 형태, 치아의 색상, 치아의 배열 양상 등을
3차원 디지털 진단 장비로 촬영하여 분석하여 치료입니다.
A.26년 라미네이트 치료 경력
라미네이트는 미용적인 목적으로
하는 치료인 만큼 최고의 결과를 위해서
충분한 분석 후에 진행하는 것이 좋습니다.
라미네이트 이후 삭제된 치아는 원래로 되돌릴 수는 없기 때문에 바루다 치과는 치료 전 치아 모양, 잇몸 형태, 치아의 색상, 치아의 배열 양상 등을 3차원 디지털 진단 장비로 촬영하여 분석 후에 최적의 치료 계획을 세워드립니다.
구강스캐너
밀링기
3D프린터
B.0.1~0.3mm
섬세한 최소삭제 라미네이트
바루다 라미네이트는 최소삭제를 통해
자연치아를 최대한 살린
1:1 맞춤 라미네이트를 지향합니다.
서울대학교 치의학과를 졸업한 김용화 대표원장은, 서울 강남 청아치과병원에서 교정과 인턴, 레지던트 수련의 과정을 거쳐 보건복지부가 인증하는 교정과 전문의 자격증을 취득했습니다. 치과의사는 많지만 교정과 전문의 자격증을 정식적으로 취득한 경우는 치과의사 중 1.7%에 불과합니다. 오랜기간의 수련의 과정을 거치면서, 많은 지식과 함께 임상경험을 시작했고, 그것은 치아 교정과 치아성형, 통합적인 심미치료시술 경력이 26년동안 40,000건이 훌쩍 넘었습니다. 이러한 다양한 케이스의 임상 경험을 바탕으로 자연치아를 최대한 살리면서도 가장 아름다운 1:1 개인 맞춤 라미네이트를 완성할 수 있는 기초를 마련하였습니다.
C.Design of Design 이라는 심미적 디자인
26년 경력의 대표원장이
직접 기공 system에 참여하고 직접 디자인
및 보철을 완성합니다.
심미적 디자인과 치아구강구조, 미소라인에 오차없는 가장 적합한 아름다움을 찾기 위해 철저한 판독과 시술, 치료 후 모든 보철 디자인 및 제작은 바루다 3D덴탈 아트 센터의 최첨단 디지털 기공 시설을 이용해, 대표원장인 직접 진행하고 완성합니다. 그렇기 때문에 환자분에게 가장 이상적이고, 가장 완벽한 라미네이트가 완성될수 있습니다.
  라미네이트 증례사진
→ SCROLL
사례더보기    →
바루다치과
바루다 3D디지털 당일 라미네이트
라미네이트는 충분한 분석 후에
진행하는 것이 좋습니다.
바루다 바루다 3D디지털 당일 라미네이트 보러가기    →
저희 바루다 라미네이트는
26 라미네이트 경력의
서울대출신 전문의 원장이 직접 치료합니다.
라미네이트는 최고의 결과를 얻기 위한 정확한 진단과
잘 세워진 치료 계획이 매우 중요합니다.
BEFORE
AFTER
라미네이트 전후 촬영날짜:
BEFORE
AFTER
라미네이트 전후 촬영날짜:
BEFORE
AFTER
라미네이트 전후사진 촬영날짜:
BEFORE
AFTER
라미네이트 전후 촬영날짜:
BEFORE
AFTER
라미네이트 전후 촬영날짜:
BEFORE
AFTER
라미네이트 전후 촬영날짜:
* 상기 환자에서 부작용은 없었습니다.
사례더보기    →
라미네이트에 관한 자주 묻는 질문들
A기존의 일반 라미네이트의 치료기간은 치과에서 본을 떠서 기공소로 보내지므로 보통 7-10일 정도의 시간이 필요합니다. 하지만 바루다 치과는 최첨단 컴퓨터 장비를 이용하므로 구강내 치아사진을 찍어 치아를 만들기까지 단 하루만에 라미네이트를 완성합니다.
A 자연치가 깨질 정도의 강한 충격에는 도자기재질인 라미네이트가 깨질 수 있지만 자연치 관리하듯이 관리를 해주시면 라미네이트의 평균수명은 15-20년 이라고 보시면 됩니다. 라미네이트(올세라믹)와 같이 치아성형을 한 치아는 6개월마다 정기적으로 치과를 방문하여 체크 후 관리를 받으시는 것이 좋습니다.
A 치과의 모든 치아 관리는 정기적인 검진과 체크입니다. 우선, 시술 후 약 일주일에서 바루다치과에서 라미네이트에 관한 체크를 해드리며, 체크 오시기 전에 꼼꼼한 잇솔질과 꾸준한 치실 사용으로 치아와 잇몸 관리를 해주어야 합니다. 방법은 라미네이트 시술 후 숙지시켜드리며, 그 후 한달, 3개월, 6개월 단위로 정기적인 체크를 권해드리고 있으니 오실때마다 치료나 수정할 부분이 있다면 필요에 따라 치료를 받으시면 됩니다.
register
contact
for more
information
042.489.2828
인스타인스타카카오블로그
도로명  대전시 서구 둔산남로 7
하루에빌딩 1,2,3층 바루다치과
 대전광역시 서구 둔산동 1155
하루에빌딩 1,2,3층 바루다치과
평    일 AM 09 : 00 - PM 18 : 00
점    심 PM 13 : 00 - PM 14 : 00
접수마감 PM 17 : 15
토요일/일요일 정기휴무
로고

로그인

로그인 후 이용해주세요.